Atypical endometrial hyperplasia
Cellular leiomyoma of the uterus
Disordered proliferative endometrium
Endometrial clear cell carcinoma
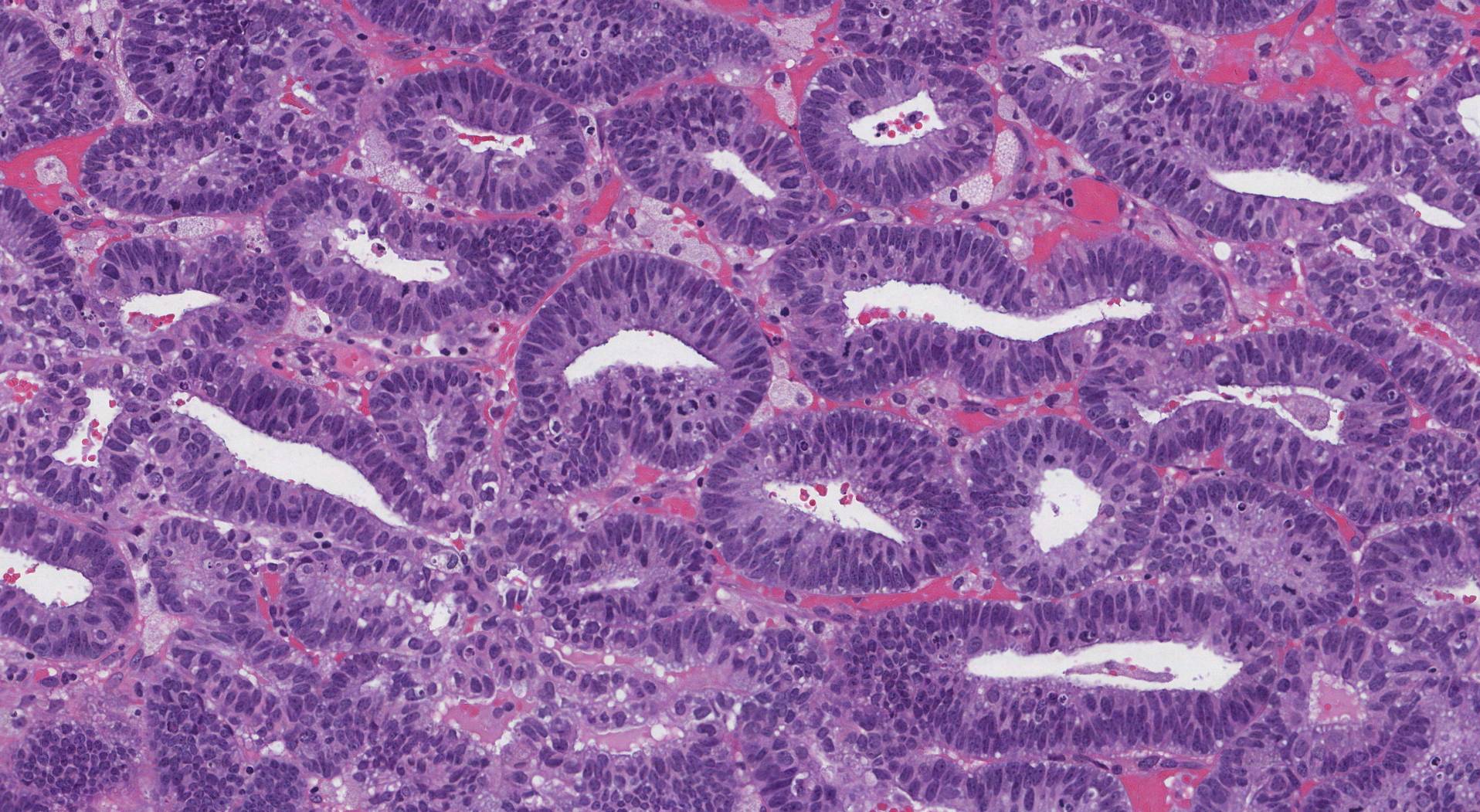
Endometrial endometrioid carcinoma
Endometrial hyperplasia without atypia
Endometrioid intraepithelial neoplasia (EIN)
High grade endometrial stromal sarcoma
Low grade endometrial stromal sarcoma
Smooth muscle tumour of uncertain malignant potential (STUMP)